歯冠が一部露出、一部被覆している症例

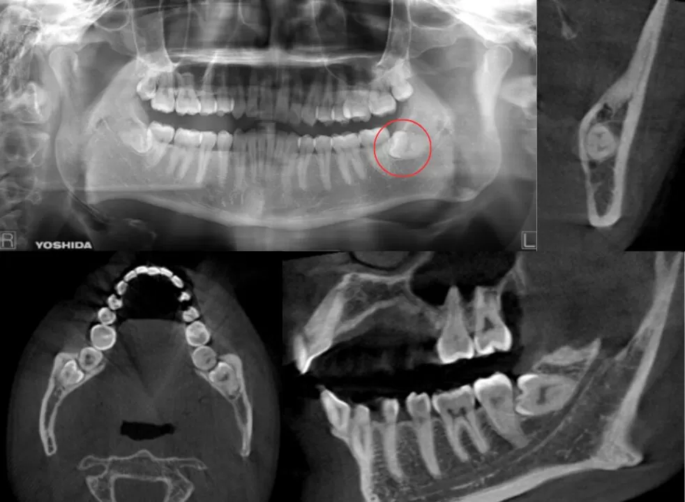
| 患者情報 | 26歳 男性 |
|---|---|
| 手術時間 | 25分 |
| 治療内容 | 親知らず抜歯 |
| グレゴリー分類 | クラスⅡ position B |


| 患者情報 | 26歳 男性 |
|---|---|
| 手術時間 | 25分 |
| 治療内容 | 親知らず抜歯 |
| グレゴリー分類 | クラスⅡ position B |

2026年 (14)
大切なお知らせ
下記にご同意の上、ご予約をお願いいたします。
治療をお待ちの方のために、直前のキャンセルはくれぐれもご遠慮ください。無断でのキャンセルをされた場合、次回からはシステム上、通常のご予約枠と異なる待機枠でのご予約とさせていただきます。これには事前のお知らせなしに変更されることをご了承ください。ただし、今後予約通りに来院された場合はこの制限を解除されます。
再診の患者様は、担当医師が不在の場合があり、WEB予約ではご希望の処置ができないこともございますので、再診の場合は直接お電話にてご予約ください。
問診表をご記入していただくので5分程前にご来院していただくとスムーズな治療やご案内が可能です。
お痛みがひどい場合や緊急を要する場合は、可能な限り迅速に対応いたしますので、お電話でお知らせください。
ご一読ありがとうございます。しっかりとご準備してお待ちしております。
お痛みがひどい場合や緊急を要する場合は可能な限りご対応しますので、いつでもお電話等でご連絡ください。