


豊富な手術件数と
専門体制
東京都大森駅徒歩50秒の歯医者・口腔外科「おおもり北口歯科 大森院」では『親知らず専門外来』を設けています。
日本補綴歯科学会専門医・日本口腔外科認定医によって、年間2,000症例以上の手術(切開剥離縫合を伴う年間手術件数)を行っています。
親知らずは生え方や口腔内の状態により抜歯非抜歯の判断が難しく、また抜歯時の難易度もケースごとに大きく異なるため、専門的な知識と技術が必要な治療です。
親知らずのことでお悩みなら、まずは東京・大森の親知らず専門外来「おおもり北口歯科 大森院」へご相談ください。
一般的な歯科医院では、親知らずの難症例に対応できない場合が多く、大学病院などの専門機関を紹介されるケースが一般的です。しかし、紹介状を受け取ってもすぐに診療が受けられるとは限らず、実際の治療までに時間がかかることも少なくありません。
その点、おおもり北口歯科 大森院には日本補綴歯科学会専門医・日本口腔外科認定医が常駐しており、大学病院レベルの高度な治療を院内で完結することが可能です。
さらに、月間200件以上の抜歯実績があり、豊富な経験と実績に基づいた安全かつスムーズな治療を提供しています。
歯科用CTを活用した
三次元的な精密診断

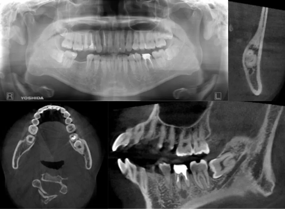
東京・大森の親知らず専門外来「おおもり北口歯科 大森院」では、歯科用CTを用いた三次元的診断を実施しています。従来のレントゲン(2D)では見えにくい情報も、CTにより骨の厚み・神経や血管の位置関係などを立体的に把握できます。
2D画像では簡単に見えるケースであっても、CTで確認すると非常に難易度の高い親知らずであることが判明することもあります。逆に難易度が低いと判定されれば、短時間かつ安全に処置を行うことも可能です。
このようにCTによる高精度な診断は、親知らずの抜歯だけでなく、インプラントや根管治療、矯正治療などにおいても大きな役割を果たしています。
CT設備と安心の撮影体制

歯科用CTは、従来の2次元レントゲンとは異なり、立体的な3次元画像を取得できる高度な診断機器です。これにより、神経や血管の位置、骨の形状や状態などを詳細に把握することが可能となり、これまでのレントゲンでは得られなかった精密な情報を確認できるようになりました。
東京・大森の親知らず専門外来「おおもり北口歯科 大森院」では親知らずの抜歯はもちろん、インプラント治療・歯周病治療・根管治療・矯正治療など、多岐にわたる歯科治療において、骨や神経の正確な位置を把握することは、安全性と治療効果を高めるうえで非常に重要です。
しかし、歯科用CTを導入している歯科医院はまだそれほど多くはありません。当院では、院内に新式のCTスキャンを完備しており、撮影から画像解析・診断までをすべて院内でスムーズに実施しています。これにより、患者様の状態を素早くかつ正確に把握し、より安全で適切な治療計画の立案に役立てています。
親知らずの治療では、レントゲン撮影によって正確な情報を得ることが非常に重要です。
2D(平面)レントゲンでは、お口全体の歯並びや顎の関節・骨の構造を把握することができ、矯正治療などにも活用されています。被ばく線量もごく少量のため、お子さまにも配慮した撮影が可能です。
ただし、2Dレントゲンだけでは情報が不十分な場合もあります。そういったケースでは、歯科用CTによる3D(立体)画像を用いた診断を行います。
歯科用CTを使用することで、親知らずと下顎の骨の位置関係や神経の走行をより詳細に確認することができます。これにより、神経損傷などのリスクを可能な限り低減した治療計画を立てることが可能となります。
また、神経の位置を立体的に把握できることで、根管治療や埋伏歯の抜歯といった高度な治療においても有効性が高まります。
東京・大森の親知らず専門外来「おおもり北口歯科 大森院」では、診断精度の向上を目的として、2Dレントゲンと歯科用CTを患者様の状態に応じて適切に使い分けております。


治療前に難易度
を正確に予測
親知らずには、まっすぐ生えているものから、垂直位・水平位・斜めに傾いたものまで、さまざまな生え方があります。これらの状態に応じて、治療の難易度は大きく変わります。
東京・大森の親知らず専門外来「おおもり北口歯科 大森院」では、これまでに10,000本以上の親知らず抜歯実績があり、特に下顎の水平埋伏歯(横向きに埋まっている親知らず)のような難症例に対しても、正確な診断と安全な処置が可能です。
難易度を精密に診断
治療前には、CTやパノラマレントゲンを使用して親知らずの位置や傾き、神経との距離を正確に評価します。
特に水平埋伏歯の場合は、「グレゴリーの分類」に基づき、9段階の難易度に分類して、適切な治療方法を導き出します。
診断によっては、以下のような手術時間の目安を把握することも可能です。
軽度のケース:1〜5分 / 中等度のケース:10〜20分 / 高難度のケース:20〜30分以上



治療前の丁寧な説明を徹底
親知らずの難易度によって、治療方法や手術の進め方は大きく異なります。
東京・大森の親知らず専門外来「おおもり北口歯科 大森院」では、術前に患者様一人ひとりの状態を正確に診断し、どのような抜歯方法を行うのかを明確にご説明いたします。
また、治療後に起こりうる合併症やリスクについても丁寧にお伝えし、ご不明な点は納得いただけるまでしっかりとご説明いたします。
安心して治療を受けていただけるよう、信頼と対話を大切にしています。



抜歯が必要なケース・
不要なケース

親知らずを抜いたほうがよい場合
- ・親知らずまたは隣の歯が虫歯になっている
- ・斜めに生えてきており、隣の歯を圧迫して歯並びに影響を及ぼしている
- ・親知らずが中途半端に生えていて、ブラッシングがうまく行えず食べカスも溜まりやすい
- ・骨の中に埋まっている親知らずにレントゲンで異常が見つかった

抜かなくてもよい場合
- ・上下きちんと生えていて正常に咬み合っている
- ・ほかの歯に影響を与えておらず、ブラッシングも問題なく行える
- ・骨の中に埋まっているが、レントゲン写真で確認しても問題が起こっていない など

移植したほうがよい場合
- ・親知らずの根の形が単純で歯根膜が健康な場合
- ・抜歯予定の歯と親知らずの大きさや形が近い場合
- ・移植先の骨(歯槽骨)の量が十分に残っている場合
- ・親知らずが真っすぐ生えていて抜歯時のダメージが少ない場合
- ・ブリッジや、インプラントを避けたい場合
TROUBLE 親知らずが引き起こす主なトラブル

虫歯・歯周病のリスク
一番奥にあるため、ブラッシングが難しく磨き残しが出やすい

歯肉の炎症
歯が部分的に埋まっていると炎症が起きやすい

咬み合わせの乱れ
生え方によって隣の歯を押し、歯並びに影響を与えることも
痛みや身体的負担に
配慮した治療

麻酔への工夫と
術前の丁寧な準備
親知らずの抜歯は外科処置にあたるため、術前の準備と麻酔管理が非常に重要です。
東京・大森の親知らず専門外来「おおもり北口歯科 大森院」ではまず、事前にお口の中の状態をしっかりとチェックし、歯ぐきや歯の周囲に汚れがある場合はクリーニングを行ってから処置に入ります。これは、術後の感染リスクを軽減するために欠かせない工程です。
また、麻酔は表面麻酔と極細針による局所麻酔を併用することで、注射時の刺激にも配慮しています。必要に応じて痛みに敏感な方や不安が強い方には、静脈内鎮静法を提案できる体制も整えています(※要事前相談)。

精神的ストレスへの配慮と
スピーディーな処置
治療中は、痛みだけでなく心理的ストレスにも配慮し、患者様の緊張や表情、体の動き(例:手を強く握りしめるなど)にも注意を払っています。少しの変化も見逃さず、適宜お声がけや処置の調整を行いながら対応します。
また、処置そのものは的確かつスピーディーに実施することで、長時間の開口による疲労や術中の負担軽減にも努めています。東京・大森の親知らず専門外来「おおもり北口歯科 大森院」では、親知らずの状態や難易度に応じた適切な術式選択とタイムマネジメントを重視しており、これまでの実績から平均15分前後で抜歯が完了するケースも多く見られます(※症例による)。


精密な視野を確保
した親知らず治療
ルーペ(拡大鏡)と柔軟な診療体制
視野を拡大するルーペを
用いた繊細な処置

親知らずの抜歯には、神経や血管との距離を見極める高度な判断力と、細やかな操作が求められます。
東京・大森の親知らず専門外来「おおもり北口歯科 大森院」では、そうした繊細な処置をより精密に行うため、すべての親知らず治療でルーペ(拡大鏡)を使用しています。
ルーペを使用することで、肉眼では確認しづらい部位も明瞭に視認でき、神経損傷や過剰な切開のリスクを低減できます。これは特に、下顎の近くに神経が走る水平埋伏歯や、複雑な根の形をした親知らずに対して重要なアプローチです。
また、拡大視野での処置により、切開範囲を最小限に抑えることが可能となり、結果として術後の腫れや痛みの軽減にもつながると考えられています(※患者様の状態による)。
拡大視野の有無による
違い

肉眼での処置
見える範囲に限界があり、細部の確認が困難
ルーペ使用時
微細な神経・血管の位置や歯の形態まで詳細に把握可能 → 精密性が求められる口腔外科処置では、再現性と安全性を高める手段として非常に有効です。
術後フォローにも
対応しやすい診療体制

親知らずの抜歯後は、まれに痛みや腫れ、出血などの経過観察が必要になることがあります。
東京・大森の親知らず専門外来「おおもり北口歯科 大森院」では、平日は19:30まで、土日祝日も診療を行っており、術後に異変があった場合でもすぐに対応しやすい診療体制を整えています。
「手術した翌日に腫れてきた」「出血が止まりづらい」といった急なご不安にも、柔軟に対応可能な点は、患者様にとって大きなメリットの一つです。
親知らずを
「抜くべきかどうか」
を明確に判断
親知らずは、必ずしもすべて抜かなければならない歯ではありません。
大切なのは、「何のために抜くのか」という明確な目的があるかどうかです。
東京・大森の親知らず専門外来「おおもり北口歯科 大森院」では、以下のような理由に該当する場合、将来的なリスクや周囲への悪影響を防ぐ目的で抜歯を提案しています。
抜歯をおすすめするケース
- ・親知らずが斜めや横向きに生えており、隣の歯を押している
- ・歯列(かみ合わせ)に悪影響を与えている
- ・中途半端に生えていて、歯ブラシが届かず磨き残しがある
- ・すでに虫歯や歯周炎を起こしている
- ・レントゲンやCTで、骨の中に異常所見が確認された
特に、下顎にある**水平埋伏智歯(横向きに埋まった親知らず)**は、神経や周囲の歯に悪影響を与えるリスクが高いため、早めの対応が推奨されることがあります。

親知らずが原因で虫歯になるのを防ぎたいと考えています
親知らずが斜めに生えていたり、歯ぐきの中に半分埋まっている場合、その周りに汚れがたまりやすく、手前の歯まで虫歯になってしまうことがあります。
東京・大森の親知らず専門外科「おおもり北口歯科 大森院」では、こうしたトラブルを未然に防ぐために、
レントゲンやCTなどで親知らずの位置や生え方をしっかり確認し、必要に応じて早めの抜歯や定期的なチェックをおすすめしています。
「まだ痛くないから大丈夫」と思っていても、定期的な検査で早期に対応することで、健康な歯を守ることができます。

Pell and Gregory分類を、臨床経験によりその難易度を評価した。奥行きをみるClassⅠ~Ⅲと、深さをみるPositionA~Cを組み合わせると、ⅠA~ⅢCの9種類になる。この9種類のうち、ⅠA,ⅡA,ⅠB,ⅡBの4種類が比較的簡単な症例と考える。
参考文献1から引用、改変。
1.the Quintessence.Vol.42
No.11/2023-2410
症例画像をクリックすると治療の詳細をご確認いただけます。
症例画像をクリックすると治療の詳細をご確認いただけます。
東京・大森の親知らず専門外来「おおもり北口歯科 大森院」では、親知らずの状態に合わせて正確な診断と丁寧な説明、患者様への負担を抑えた治療を心がけています。
以下は、初診からアフターケアまでの一連の流れです。
※親知らずの難易度によっては当日の抜歯も可能です

step01
1日目
ご予約・初診受付
まずはお電話またはWEB予約フォームからご予約ください。
当日は、問診票の記入や保険証の確認を行います。

step02
1日目
診察・カウンセリング
担当医が親知らずの状態やお悩みについて詳しくお伺いします。
「どこが痛むのか」「どのくらい前から症状があるか」などを確認し、患者様のご希望や不安にも丁寧に対応いたします。

step03
1日目
精密検査
(レントゲン・CT撮影)
親知らずの位置・方向・根の形・神経との距離などを正確に把握するため、必要に応じて2Dパノラマレントゲンや歯科用CT(3D撮影)を行います。特に下顎の親知らずは、神経との距離を把握することで、リスクを最小限に抑えた治療計画の立案が可能になります。

step04
1日目
診断結果のご説明
検査結果をもとに、親知らずの状態や治療の必要性、抜歯の難易度、手術方法・所要時間などを画像を見せながら丁寧にご説明します。疑問点があればその場でご質問いただけます。
※抜歯が不要と診断される場合もあります。

step05
1日目
治療スケジュールの
ご案内
抜歯が必要な場合は、術前クリーニングや体調確認のうえ、手術日のご予約を行います。
必要に応じて抗生物質や痛み止めの処方、生活上の注意点(運動・入浴・お食事など)もご案内します。

step06
2日目
親知らずの抜歯手術
滅菌管理された専用ユニットで、安全性に配慮して抜歯を行います。当院では、拡大視野(ルーペ)やピエゾなどの機器を用いて、できる限り低侵襲で精度の高い抜歯を心がけています。また、患者様の表情や反応を見ながら麻酔や処置を進めますので、不安や痛みに配慮した対応が可能です。

step07
2日目
術後の注意事項・
お薬の処方
抜歯後は、止血・洗浄を確認の上で、痛み止め・抗生物質を処方いたします。
自宅での過ごし方や食事・歯磨きの注意点についても、紙の資料でわかりやすくご案内します。

step08
3日目
術後の経過観察・
フォローアップ
術後は、傷口の状態や痛み、腫れなどを確認するため、必要に応じて1週間前後で再診をお願いしています。おおもり北口歯科は土日祝も診療しており、急な症状にも迅速に対応できる体制を整えています。
こんな時はご相談ください
- ・術後に出血や痛みがなかなか引かない
- ・食事が摂れないほど腫れてしまった
- ・麻痺感や違和感が長く続く
- ・不安なことがあれば、どんな些細なことでも遠慮なくご相談ください。
PRIVATE
FLOOR 自費治療専用フロア
貸し切りのご案内
おおもり北口歯科 大森院では、本院の近くに自費治療専用のフロアをご用意しています。
完全予約制で、ワンフロアを貸切にした環境での治療にも対応しております。
落ち着いた空間で、人目を気にせず治療を受けたい方や、より集中した環境での処置をご希望の方におすすめです。
ご利用を希望される場合は、当院スタッフまでお気軽にご相談ください。

| 簡単な抜歯 | 1,100円 (税込) | 大きな虫歯や歯周病でグラグラしている歯など、簡単な抜歯です。局所麻酔を注射してから、「ヘーベル」や「抜歯鉗子」という器具を使用して抜歯します。抜歯後は止血を確認してから帰宅していただけます。必要に応じて痛み止めや抗生物質を処方させていただきます。 |
|---|---|---|
| 難しい抜歯 | 2,200円 (税込) | 虫歯が大きく歯が溶けてしまい残根状態担っている場合や顎の中を走行している神経・血管と近接している場合は、難しい抜歯になります。顎の中を走行している神経を傷つけてしまうと、唇や頬の知覚麻痺を招いてしまいます。歯科用CTを使用して位置関係を把握した後、丁寧な抜歯をおこないます。 |
| 骨の中に埋まっている場合 | 3,850円 (税込) | 顎の骨の中に埋まっている歯を抜歯するときは、「分割抜歯」をすることがあります。骨の中に埋まっている場合、ほとんどが横向きに生えているため一塊で除去することが難しいからです。分割抜歯は、歯の冠部と根部を歯科用ドリルで分割してから鉗子を使用して取り除きます。 |
| 歯の再植・移植
※保険適用外 | 33,000円~66,000円 (税込) | 以前まで、親知らずは抜歯することが一般的でしたが近年では奥歯に何かあったときに親知らずを移植することがあります。また、事故などが原因で歯が抜けてしまった場合に歯を同じ部位へ再植することができます。移植・再植後はメインテナンスをすることで、10年前後持つことが多いです。 |
WORRY こんなお悩みは
ありませんか?

- 奥歯のあたりがズキズキと痛むけど、どこに相談すればいいのか分からない
- 親知らずが生えてきた気がするけど、抜くべきかどうか判断できない
- 他の歯科医院で「大学病院に紹介します」と言われてしまった
- 親知らずが斜めに生えていて、歯ブラシが届かず虫歯になりそうで心配
- 妊娠中や授乳中で、親知らずの痛みをどうしたらいいか不安
- 抜歯後の痛みや腫れが心配で、なかなか治療に踏み切れない
- 過去に難しい抜歯をして怖い思いをした経験があり、もう抜きたくない
東京・大森の親知らず専門外来「おおもり北口歯科 大森院」では、こうしたお悩みを持つ方のために、
**「親知らず専門外来」**を設け、年間2,000件以上の親知らず抜歯に対応しています。
大森エリアだけでなく、東京都内各地から多くの患者様にご来院いただいています。
患者様一人ひとりに合わせた丁寧な診断と、丁寧な説明、
そしてできる限り身体への負担を抑えた抜歯を行っています。
「これって親知らずのせいかも?」と思ったら、どうぞお気軽にご相談ください。
親知らず治療とは?

親知らずとは?
「歯の奥のほうに違和感がある」「奥歯の向こうが痛い」「奥歯の向こうが腫れてきた」… これらのトラブルは親知らずのせいかもしれません。
親知らずは正面から数えて8番目の永久歯。第三大臼歯や智歯とも呼ばれ、永久歯の中でも最後に生えてくる歯です。一般的には10代後半~20代前半にかけて生えてきますが、人によってはまったく生えてこなかったり、4本揃っていなかったりします。
親知らずはお口の一番奥に生えてくるために、ブラッシングしづらく汚れが溜まって虫歯や歯周病にかかるリスクの高い歯です。顎の大きさが十分でないと斜めに生えてきたり、最後まで生えてこなかったりなど様々。このため、生え方によっては抜歯が必要になることもあります。

親知らずは抜くべき?抜かなくてもいいの?
親知らずは正しい方向に生えないことが多いのですが、だからといって、すべての親知らずを抜けばいいというわけではありません。また、親知らずの抜歯は、抜歯後に腫れたり痛みが出たりすることもあります。
抜くメリットとデメリットをしっかり理解した上で、歯科医師と相談して処置を検討しましょう。自己判断は難しいので、気になる点があれば、お気軽に当院へご相談ください。
痛みがある時に抜けますか?
基本的に痛み(炎症症状)が強い場合は麻酔が全く効かない場合もあり、消炎処置を行って後日痛みが和らいでから抜歯します。以上がおすすめの抜歯の方法ではありますが、状況によって抜歯する場合もございます。
親知らずが痛む原因は何ですか
基本的に親知らず単独で歯が痛い場合は、虫歯菌によって歯質が崩壊し、歯髄が化膿している場合に強い痛みが出ます。また痛みの原因で特に多いのが、親知らず周囲の歯肉にたまった汚れです。汚れによって、歯肉炎を起こし痛みが生じます。
当日抜けますか
基本的に、初診日は検査を中心に行わせていただきます。しっかりと難易度を予測し、十分な時間を後日とらせていただき手術を行っていきます。難度が簡単なケースは当日行う場合があります。
必ずしも親知らずを抜く必要がありますか?
当院では、①しっかりと上下で咬んでいない親知らず②しっかりと歯ブラシで磨けない箇所の親知らず③歯列に影響を与えている親知らずは抜歯対象としています。上記3つのいずれにも当てはまらない場合は抜く必要はありません。
右の親知らずを抜いた後、左の親知らずも抜く必要がありますか?
上記と同じで、①しっかりと上下で咬んでいない親知らず②しっかりと歯ブラシで磨けない箇所の親知らず③歯列に影響を与えている親知らずのいずれにも当てはまらない場合は抜く必要はありません。
痛みや腫れをそのままにしておくとどうなりますか?
虫歯による強い痛みの場合は、数日で痛みはなくなることが多いですが、治ったわけではなく根っこの中に侵入した菌が大きく広がり、数年後により広範囲に渡る大きな手術が必要になることがあります。
歯肉周囲の汚れが原因で痛みや腫れが出ている場合は、体調の良し悪しによって、腫れや痛みを繰り返すことが多いです、なるべく早めの検査や抜歯をおすすめしています。
親知らずを抜く際、痛みは伴いませんか?
もちろん最初に十分な麻酔を打つので、術中の痛みはございません。万が一途中で麻酔が足りず、痛みが出てきた場合は必ず追加で麻酔を足しますのでご安心ください。
年齢による抜歯の難易度の差はありますか?
年齢の若い方のほうが歯の周りの骨が柔らかいことが多く、手術も短時間で終わります。
抜く必要があるなら早めの抜歯をおすすめします。
親知らずの抜歯時間は?
2024年の平均手術時間は萌出歯は1分、水平埋伏智歯は15分でした。しかし、親知らず抜歯は生え方によって難易度が大きく変化します。必ず術前に手術時間は予想しているので、いつでもお尋ねください。
抜歯後は腫れたり、痛みますか?
個人差はすごくありますが、大抵は、痛み止めや抗生剤の服用で楽になることが多いです。術後の喫煙や術後、血液が固まる前に過度なうがい等をすると、痛みが強く出やすい傾向があります。
抜歯後の腫れはどのくらい期間がありますか?
個人差はありますが、約1週間は見ておいてもらった方が無難です。大事なご予定の直前のアポイントは避けてもらった方がいいです。
抜歯後の禁止行為、行動制限はありますか?
とにかく、最も重要なことは、抜歯した大きな穴が治るためには血液が溜まってくれないと治りが悪なるということです。なので、強いぶくぶくうがいは本当によくないので術後は注意が必要です。あとは、いわゆる飲酒、喫煙、長時間の入浴、強度の高い運動などは避けた方が無難です。また傷口をきれいに治すためには栄養補給も大変重要ですので、出来るだけ術後はお食事を無理のない範囲でとりましょう。
抜歯後の歯ブラシやうがいは?
前述したように、抜歯した大きな穴が治るためには血液が溜まってくれないと治りが悪くなりますので、歯ブラシは抜歯した周囲には極力当てず、2~3日は強いぶくぶくうがいも絶対に避けるようにしてください。
固まりかけている血液が取れてしまうと術後の治りがとても遅くなってしまいます。























































