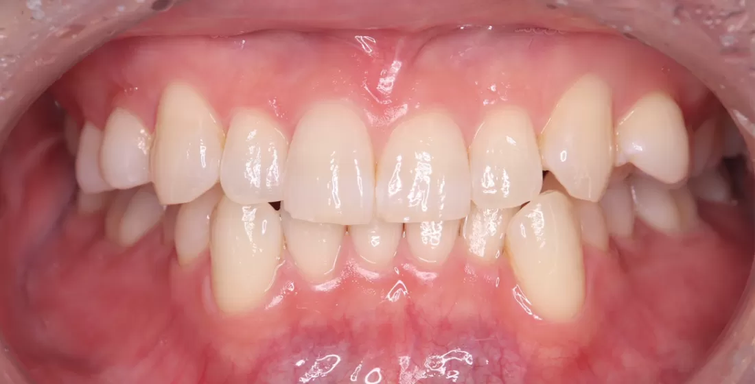
症例紹介⑤トランセントホワイトニング(20代女性)
症例紹介⑤トランセントホワイトニング(20代女性)
ホワイトニング治療前
ホワイトニング治療後
※ご紹介している症例は、あくまでも患者様固有の症例ですので、実際には患者様によって治療期間や、治療法など個人差がございます。
ーーーーーーーーーーーーーーーーーーー
【治療名】
オフィスホワイトニング【患者情報】
20代女性【担当者】
DH植木【治療内容】
トランセントホワイトニングを用いた歯のホワイトニング【治療期間】
2回(カウンセリング1回、ホワイトニング1回)【費用(税込)】
平日〜17:00:¥49,500
土日祝:¥55,000【メリット】
・高濃度酸化剤を使用していないため、みや刺激を感じにくい
・妊娠中・授乳中やお子様でも施術可能(※歯科医師と応相談)【リスク】
・照射時の熱による軽度の歯肉炎及び痛みが出る場合がまれにあります(※照射角度を調整し緩和可能)
・ホワイトニング後は徐々に色戻りしますーーーーーーーーーーーーーーーーーーー
ご自身の歯でお悩みを抱えている方、お気軽にご相談下さい☺
※当院では患者様に安心して治療をお受けいただくために、感染対策を徹底しております。
大森駅からすぐ近くの歯医者
『おおもり北口歯科』
東京都大田区山王2丁目5−2 福島屋ビル 1F
TEL:03-5742-7036
2023.04.28
症例紹介⑥トランセントホワイトニング(20代後半男性)
症例紹介⑥トランセントホワイトニング(20代後半男性)
ホワイトニング治療前
ホワイトニング治療後
※ご紹介している症例は、あくまでも患者様固有の症例ですので、実際には患者様によって治療期間や、治療法など個人差がございます。
ーーーーーーーーーーーーーーーーーーー
【治療名】
オフィスホワイトニング【患者情報】
20代後半男性【担当者】
DH青木【治療内容】
トランセントホワイトニングを用いた歯のホワイトニング【治療期間】
2回(カウンセリング1回、ホワイトニング1回)【費用(税込)】
平日〜17:00:¥49,500
土日祝:¥55,000【メリット】
・高濃度酸化剤を使用していないため、みや刺激を感じにくい
・妊娠中・授乳中やお子様でも施術可能(※歯科医師と応相談)【リスク】
・照射時の熱による軽度の歯肉炎及び痛みが出る場合がまれにあります(※照射角度を調整し緩和可能)
・ホワイトニング後は徐々に色戻りしますーーーーーーーーーーーーーーーーーーー
ご自身の歯でお悩みを抱えている方、お気軽にご相談下さい☺
※当院では患者様に安心して治療をお受けいただくために、感染対策を徹底しております。
大森駅からすぐ近くの歯医者
『おおもり北口歯科』
東京都大田区山王2丁目5−2 福島屋ビル 1F
TEL:03-5742-7036
2023.04.28
症例紹介②トランセントホワイトニング(20代女性)
症例紹介②トランセントホワイトニング(20代女性)
ホワイトニング治療前
ホワイトニング治療後
おおもり北口歯科です。
本日は「 トランセントホワイトニング」を行われた患者さまのビフォーアフターをご紹介します。※ご紹介している症例は、あくまでも患者様固有の症例ですので、実際には患者様によって治療期間や、治療法など個人差がございます。
ーーーーーーーーーーーーーーーーーーー
【治療名】
オフィスホワイトニング【患者情報】
20代女性【担当者】
DH青木【治療内容】
トランセントホワイトニングを用いた歯のホワイトニング【治療期間】
2回(カウンセリング1回、ホワイトニング1回)【費用(税込)】
平日〜17:00:¥49,500
土日祝:¥55,000【メリット】
・高濃度酸化剤を使用していないため、みや刺激を感じにくい
・妊娠中・授乳中やお子様でも施術可能(※歯科医師と応相談)【リスク】
・照射時の熱による軽度の歯肉炎及び痛みが出る場合がまれにあります(※照射角度を調整し緩和可能)
・ホワイトニング後は徐々に色戻りしますーーーーーーーーーーーーーーーーーーー
ご自身の歯でお悩みを抱えている方、お気軽にご相談下さい☺
※当院では患者様に安心して治療をお受けいただくために、感染対策を徹底しております。
大森駅からすぐ近くの歯医者
『おおもり北口歯科』
東京都大田区山王2丁目5−2 福島屋ビル 1F
TEL:03-5742-70362023.03.23
症例紹介④トランセントホワイトニング(20代女性)
症例紹介④トランセントホワイトニング(20代女性)
ホワイトニング治療前
ホワイトニング治療後
おおもり北口歯科です。
本日は「 トランセントホワイトニング」を行われた患者さまのビフォーアフターをご紹介します。※ご紹介している症例は、あくまでも患者様固有の症例ですので、実際には患者様によって治療期間や、治療法など個人差がございます。
ーーーーーーーーーーーーーーーーーーー
【治療名】
オフィスホワイトニング【患者情報】
40代女性【担当者】
DH青木【治療内容】
トランセントホワイトニングを用いた歯のホワイトニング【治療期間】
2回(カウンセリング1回、ホワイトニング1回)【費用(税込)】
平日〜17:00:¥49,500
土日祝:¥55,000【メリット】
・高濃度酸化剤を使用していないため、みや刺激を感じにくい
・妊娠中・授乳中やお子様でも施術可能(※歯科医師と応相談)【リスク】
・照射時の熱による軽度の歯肉炎及び痛みが出る場合がまれにあります(※照射角度を調整し緩和可能)
・ホワイトニング後は徐々に色戻りしますーーーーーーーーーーーーーーーーーーー
ご自身の歯でお悩みを抱えている方、お気軽にご相談下さい☺
※当院では患者様に安心して治療をお受けいただくために、感染対策を徹底しております。
大森駅からすぐ近くの歯医者
『おおもり北口歯科』
東京都大田区山王2丁目5−2 福島屋ビル 1F
TEL:03-5742-70362023.03.23
症例紹介③トランセントホワイトニング(20代女性)
症例紹介③トランセントホワイトニング(20代女性)
ホワイトニング治療前
ホワイトニング治療後
おおもり北口歯科です。
本日は「 トランセントホワイトニング」を行われた患者さまのビフォーアフターをご紹介します。※ご紹介している症例は、あくまでも患者様固有の症例ですので、実際には患者様によって治療期間や、治療法など個人差がございます。
ーーーーーーーーーーーーーーーーーーー
【治療名】
オフィスホワイトニング【患者情報】
20代女性【担当者】
DH植木【治療内容】
トランセントホワイトニングを用いた歯のホワイトニング【治療期間】
2回(カウンセリング1回、ホワイトニング1回)【費用(税込)】
平日〜17:00:¥49,500
土日祝:¥55,000【メリット】
・高濃度酸化剤を使用していないため、みや刺激を感じにくい
・妊娠中・授乳中やお子様でも施術可能(※歯科医師と応相談)【リスク】
・照射時の熱による軽度の歯肉炎及び痛みが出る場合がまれにあります(※照射角度を調整し緩和可能)
・ホワイトニング後は徐々に色戻りしますーーーーーーーーーーーーーーーーーーー
ご自身の歯でお悩みを抱えている方、お気軽にご相談下さい☺
※当院では患者様に安心して治療をお受けいただくために、感染対策を徹底しております。
大森駅からすぐ近くの歯医者
『おおもり北口歯科』
東京都大田区山王2丁目5−2 福島屋ビル 1F
TEL:03-5742-70362023.03.23













